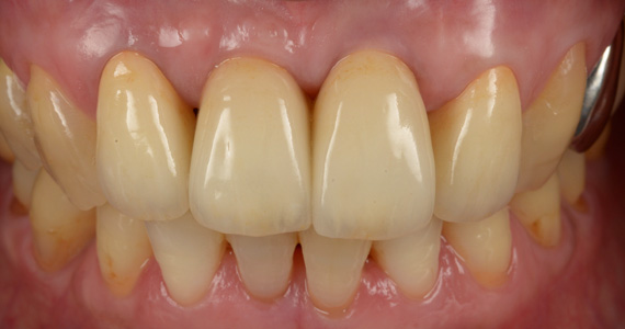
レイヤリング法は色の深みを出すことができますが、表面の陶材が割れやすく価格が高い(¥11万)主に前歯に使います。
(症例R1、2、3、4)

症例R1 レイヤリング法症例1

症例R2 レイヤリング法症例2

症例R3 レイヤリング法症例3

症例R4 レイヤリング法症例4
このウェブサイトのすべての機能をご利用いただくためには、ブラウザの設定によりJavaScript機能を有効にする必要があります。
" お使いのブラウザでJavaScriptを有効にする方法 " をご確認いただき、JavaScriptを有効に設定してからご覧ください。
SHINBISHIKA

審美歯科って言葉が一般的になってますが『審美歯科ってなんだろう?』って言葉を専門医から説明してみます。
「歯並び、虫歯、歯周病等のなんらかの原因で見た目に生じている問題を自然で健康な状態に改善する治療法」だと私は考えて良いと思います。
一番重要なことは「治療後も噛み合わせもよく健康で見た目の良い状態が長期間保てる」ってことです。
健康な状態を保つには原因についての診断と予防、それと歯科医とスタッフによるの繊細で地道な施術と術後管理が必要です。
当院ではマイクロスコープや口腔内スキャナー等の先端技術を導入し、また熊本で最も優秀な歯科技工士との連携で行なっている治療をご紹介します。
当院で取り扱っているオールセラミックスクラウンはエンプレス(手作り:症例1、2)とジルコニア(コンピュターデザイン+機械削り出し:症例R、E、D、インプラント)があり、ジルコニアクラウンはその中にまた2種類あります。
エンプレスクラウンとは、内面に金属を使用せず、専門の技工士が丁寧に手作りしたセラミック(陶器)のみで欠けた歯や削った後の歯を修復する審美性に優れた歯冠修復法です。
他の素材に比べて、天然歯に近い色合い、質感を表現できることにあります。

エンプレスクラウン症例1 治療前

エンプレスクラウン症例1 治療後

エンプレスクラウン症例2 治療前

エンプレスクラウン症例2 治療後
ジルコニアの2種類の違いはジルコニアフレームに陶材を盛って(Z1)作成するレイヤリング法(Z2)とフレーム自体に色を付けていくステイン法(Z3)です。

ジルコニアフレームに陶材を盛って作成

レイヤリング法

ステイン法
レイヤリング法は色の深みを出すことができますが、表面の陶材が割れやすく価格が高い(¥11万)主に前歯に使います。
(症例R1、2、3、4)

レイヤリング法症例1

レイヤリング法症例2

レイヤリング法症例3

レイヤリング法症例4
ステイン法は強度が強く割れにくのですが色の単調な症例では前歯でも使えます。
製作法が価格が安く
前歯¥9万(症例E1、2、3、4)
奥歯¥8万(症例D1、2、3、4)

ステイン法前歯症例1

ステイン法前歯症例2

ステイン法前歯症例3

ステイン法前歯症例4

治療前

削って歯型をとる前

ジルコニア(ステイン)

ジルコニア装着後
なぜ前歯のインプラント治療が難しいか問題点を整理し解決法を提示します。
1、前歯の歯茎はスキャロップフォーム(図1:歯茎の前面と隣の歯との境界で高さに差がある)で歯の断面は三角形であり、(図2)
インプラント歯頚部はフラットで断面は正円形であるので天然歯との形に違いがある。(図3)

歯茎の前面と隣の歯との境界で高さに差がある

前歯の断面は三角形

インプラント歯頚部はフラットで断面は正円形であるので天然歯との形に違いがある
1、の解決法として手術の段階でと仮歯の段階で擬似的(図4)な天然歯に類似した歯茎の形(図5)を与える「専門的になるので詳細は2012年に審美歯科の専門誌QDT11、12月号(図QDT1、2に投稿しました)」


以上を考慮した症例
治療前(図6、7)
治療後(図8、9、10、11)
治療費(1本につき)
インプラント¥20万+骨造成料¥5~10万+ジルコニアクラウン(レイヤリング)¥11万

治療前1

治療前2

治療後1

治療後2

治療後3

治療後4
結論を申せば『前歯部で天然歯での審美歯科治療が完璧でなければ、見かけの自然なインプラント治療を行うことは不可能だと考えて良いでしょう』
反対を言えば『審美的な前歯のインプラント治療ができる先生は天然歯の審美歯科のレベルが高い』と言えます。